释文勘误,重发。
《故汉阳太守刘福功德颂》摩崖外观
2014年笔者搨碑现场
原碑搨本
硅胶翻模本之一
翻模本之二
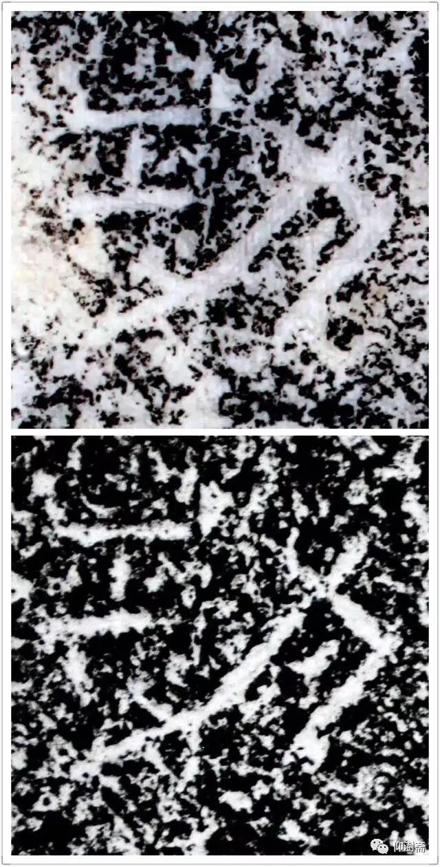
原碑搨本与硅胶翻模本局部对比(上图为原碑搨本,下图为硅胶翻模本):
「漢」
「令」

《故汉阳太守刘福功德颂》考释
张驰
东汉时期,刊石立碑之风盛行,相比前汉,留下了数量颇为众多的刻石文字。近年来,由于民间文物保护者的积极参与,一些东汉时期的摩崖刻石陆续被发现。位于甘肃省张家川县的和平元年《故汉阳太守刘福功德颂》便是其中的代表,该摩崖刻石,具有重要的文献史料价值,同时也具有很高的书法艺术价值。笔者不揣浅陋,迻录碑文并略作考释,以求抛砖引玉。
《故汉阳太守刘福功德颂》(下文简称《刘福功德颂》)位于甘肃省天水市张家川县城东二十五公里处的恭门镇河峪村,东汉桓帝和平元年(150年)造。刊于坐北朝南的石壁上,呈不规则长方形,纵一三〇厘米、横一〇二厘米,崖面粗糙,中下部脱落。阴刻隶书,凡十五行,字径六厘米。原碑每行五至十七字不等,共计二〇三字。现残存每行三至十四字不等,可识别者一一四字,存疑者一九字,脱落不辨者七十字。刻石内容系当地吏民为故汉阳太守刘福所刊功德颂,录文如下:
【额】
汉
【正文】
和平元年岁庚寅□□□□□/
故汉阳太守,刘君讳福字伯寿,赵□□□也。/
其先汉景帝少子,封昴毕野,君□□□浮□/
令,幽州刺史,所在有济民之□□□□宽仁,/
有虑深远之筴,藻尔难迨,□□□□□遵,萌/
忿瑕荒之不柔,数离怨旷□□□□□不修,/
乃睠西顾,命君守之,于是□□□□□□□/
术怀远人,岁豊靖而有□□□□□□其后/
吏民追思渥惠□□□□□□□□□□□/
伊君德,洞绝旅,播□□□□□□艺以怀远/
,合功实配往古,勒□□□□□□□□□,唯/
□□□子/
公素俭约/
财费因邽/
陇赵亿建造/
刘福其人,史传不载,据碑文可知其为汉景帝少子刘舜的后裔。景帝中“五年夏,立皇子刘舜为常山王。”[1]常山郡,原名恒山郡,高帝三年(前204年)置。吕后执政时期,前188年,置恒山国。前180年,吕后卒,恒山国废为郡。文帝元年(前179年),因避文帝刘恒讳,更名常山郡。景帝中五年(前145年),复置常山国,以刘舜为常山王。碑文中“封昴毕野”,即《汉书·地理志》中所载:“赵地,昴、毕之分野。赵分晋,得赵国。北有信都、真定、常山、中山。”[2]即言刘舜出封之地常山国属赵旧地。关于刘福的籍贯,第二列碑文第十三字似为“赵”字,结合残留碑文上下文分析,或是赵国之意,即至刘福这一代,已为赵国下属某县人。
刘福在赴任汉阳太守之前,先后任浮□令,幽州刺史。刘福所在的赵国,属冀州刺史部,故其起家的第一个官职“浮□令”,极可能是赴同属冀州的渤海郡浮阳侯国出任。刘福任职汉阳郡守的时间在和平元年之前,且吏人刊铭当在其去任后不久。考史料所载顺帝、桓帝之际的汉阳太守,汉安二年(143年)“夏四月庚戌,护羌校尉赵冲与汉阳太守张贡击烧(当)〔何〕羌于参䜌。”[3]知汉阳太守时为张贡。永憙元年(145年)“以汉阳太守张贡代为校尉。”[4]知其转任护羌校尉一职。而145年至150年间的汉阳太守史书阙载,刘福领太守事或正在此时,试浅述如下:
顺帝永和五年(140年)西北爆发了且冻、傅难种羌的反叛,并最终演化为东西羌联合的大规模叛乱,时间持续长达六年之久,直至永憙元年才完全被平定。史载“五年夏,且冻、傅难种羌等遂反叛,攻金城,与西塞及湟中杂种羌胡大寇三辅,杀害长吏。机、秉并坐徵。于是发京师近郡及诸州兵讨之,拜马贤为征西将军,以骑都尉耿叔副,将左右羽林、五校士及诸州郡兵十万人屯汉阳。......于是东西羌遂大合。”[5]这场源于并州刺史来机、凉州刺史刘秉等人“到州之日,多所扰发”[6]施政苛暴不当引起的羌乱,使得自东汉以降,西羌叛服无常,兵燹频仍的陇右诸郡县,民生凋敝,社会更加动荡不安。碑文中“□□□□□遵,萌忿瑕荒之不柔,数离怨旷□□□□□不修,乃睠西顾,命君守之,于是……”的记载,便从侧面印证了当时颓败不堪的社会现实状况。
由于来机等人赴任之后,未从大将军梁商“戎狄荒服,蛮夷要服,言其荒忽无常,而统领之道,亦无常法,临事制宜,略依其俗”“其务安羌胡,防其大敌,忍其小过”[7]的告诫而导致的这起叛乱,使得朝廷对于后续西部边郡官吏的选任,必然更多地要从其以往施政宽仁的角度去考虑,刘福从幽州刺史转任汉阳太守,正是基于这样的历史背景。从碑文“君□□□浮□令,幽州刺史,所在有济民之□□□□宽仁,有虑深远之筴,藻尔难迨。”可知其为官宽仁、谋事深远,深得百姓爱戴,有良好的政声。陇右羌乱初定,人心思安,朝廷此时选任其为汉阳太守,可谓官得其人。而刘福下车之后,亦不负朝廷期望,政绩斐然,正如碑文所云:“术怀远人,岁豊靖而有□□□□□□其后/吏民追思渥惠……。”
汉
阳郡,东汉明帝永平十七年(74年)由天水郡改置,治冀县(今甘肃甘谷),领冀、阿阳、陇、上邽、西等共十三县。张家川,为陇县故地,是关中西进陇右的重要门户,著名的陇关道横亘其境内。刻石所在的恭门镇,位于关山西麓,是陇关道上的重要节点,从碑文“伊君德,洞绝旅,播□□□□□□艺以怀远,合功实配往古”来推测,刻石的建造初衷应与刘福任汉阳太守时缮治陇关道有直接的联系。考从陇县固关镇出发向西翻越陇山抵达张家川恭门镇的陇关道一段,大致有南北两条线。北线从固关镇向西北行,经上、下关厂,沿千河的支流后河到达后河上游,经秦家塬到白石窑,再折向西南翻越皇家坡梁头,抵达天河的上游羊肚子滩,然后再沿天河的支流大河向西南继续蜿蜒行进,经张风台、石爷庙,过《刘福功德颂》摩崖刻石所在的河峪村,最终到达恭门镇。这条道俗称古道,开通较早,为秦人当年翻越陇山,放牧转场的重要通道。南线从固关镇西南翻越陇山,经佛爷崖、三桥、老爷岭到达马鹿乡下山,再折向西行经阎家乡,至恭门镇。这条道开通时间较北线要晚,且海拔较高,地形险峻,但至今仍然沿用。依据《刘福功德颂》摩崖刻石所在地理位置,再结合碑文的记载,可推知刘福当年“洞绝旅”之举,应指缮治疏通北线一事。这说明了两个问题:一是在刘福任汉阳太守时,北线早已弃置不用,或虽仍有通行但道路并不顺畅,并非主要孔道;二是作为主要通道的南线在当时遭到了极大的破坏,短期内无法恢复,导致无法通行,只能重新启用北线。如前文所述,永和五年夏,且冻、傅难种羌等举兵反叛之后,大肆寇略,甚至危及京师安全,而连接陇右与关中的陇关道,自然也会波及,史载“且冻分遣种人寇武都,烧陇关,掠苑马。”南线阻隔,或正是由于这个原因。(见图一)关于道路缮治的财物费用来源,碑文中有“财费因邽”之说,“邽”即“上邽”的省写,说明相应的财费均由上邽县提供。作为汉阳太守的刘福主持凿通位于陇县境内的道路,财费不出自陇县及汉阳郡府库,反而由上邽县提供,这个问题还需深入探究。或说明经过大规模羌乱之后,汉阳郡下属各县,唯有上邽县廷库较为富裕,且重新开通北线,亦直接与上邽县东出陇山有关。而从北线向西南行,经恭门镇,沿天河、樊河继续西南行进,过新城乡,抵清水县,再向西南沿牛头河前行,便可一路直达天水市即上邽县。另外,2014年在恭门镇城子村古城遗址一带,曾出土过一批秦汉封泥,其中有 “上邽丞印”秦封泥,为迄今仅见,该封泥略呈圆形,直径约2.5厘米,印面呈正方形,尺寸约为2×2厘米,有田字界格。该封泥的出土亦从侧面说明了秦汉以来,沿陇关道,上邽县与此地频繁往来的历史事实。
摩崖最后落款“陇赵亿建造”,“陇”即“陇县”,赵亿其人史书不载,有学者认为,该赵亿与东汉名士,著名辞赋家西县赵壹为同一人,然籍贯与名讳均不相符,此说法似有牵强附会之嫌。此外,值得注意的是,在延熹二年(159年)的《甘谷汉简》中,提到了时任汉阳郡长史亿,但没有姓氏,[8]其与《刘福功德颂》中的赵亿两者相距仅9年,或为同一人,存疑待考。又《后汉书·杨伦传》中有徐州刺史刘福的记载,按顺帝即位之后,杨伦就邵陵令任嘉因贪秽升迁而牵染将相大臣一事上书,其中言及“往者湖陆令张叠、萧令驷贤、徐州刺史刘福等,衅秽既章,咸伏其诛。”[9]刘福等人伏诛之事,应在顺帝即位以前,或者即位之初。而据上文考证可知,汉阳太守刘福领太守事是在顺帝之后,冲帝永憙元年至桓帝和平元年之间,故两者并非同一人。
《刘福功德颂》比位于甘肃成县天井山麓、刊于灵帝建宁四年(171年)的《汉武都太守汉阳阿阳李翕西狭颂》早21年。应该是继成县西峡中段东汉章帝元和二年(88年)《汉将题刻》之后,[10]甘肃境内迄今所见早期的东汉摩崖刻石。由于地处关山深处,交通不便,久不为人所识,历代金石文献均阙遗不载。80年代以后,只有零星的文章介绍,但未有全面的释读和考证,实有遗珠之憾。刻石最早的发现者和保护者是恭门镇文化站站长王成科先生。他参加工作后不久,便开始积极奔走呼吁,四处筹集款项,为原先曝露于荒郊野外、没有任何保护措施的刻石,加盖了保护性建筑,使其得到了较为妥善的管理,并于1987年被列为县级文物保护单位。
《刘福功德颂》书体为隶书,结体方阔朴拙,内空外满。中锋运笔,多方折直行,厚重有力,落落大方,长笔多带篆意,短笔略带楷意,波磔质朴不显,雄劲古穆。而崖面久经风化剥蚀之后,字迹点画锋芒不显,更使其呈现出阳刚朴茂、端严宽博、浑厚苍茫的书法风貌,方正宏阔如军阵临敌,质重得体若博雅君子。值得注意的是,碑额的“汉”字,用笔圆劲高古、清奇散朗,与《石门颂》书风颇为接近。该刻石书法整体上属汉碑雄古壮美一路,但风格独特,不同于已见的东汉刻石。与其它汉隶开启了舒展活泼的八分书不同,该刻石书法,笔势仍然保留了内敛迟缓的篆书笔意,线条以圆笔为主,方笔较少。笔画圆起圆收,没有装饰性的蚕头雁尾。字形以匀齐方整为主,兼有圆润秀美,不作横向的夸张伸展。这种笔势篆意明显,以篆为用,以隶为体,兼有“楷变”趋向的书法特色,开启了《好大王碑》一路书风的先河。具有极高的书法艺术价值,是汉隶中的精品,值得关注的地方还有很多。
关于该摩崖刻石的命名,有学者认为,因刻石地处关陇古道的恭门镇河峪村,可命名为《河峪颂》,与位于甘肃陇南成县的《西狭颂》摩崖石刻互为姊妹篇,可称为甘肃摩崖石刻南北“二颂”。此命名的逻辑,无视碑文本身的内容,强行与《西狭颂》发生关系,虽简单易记,但却有失科学和严谨。如果碑文的内容残泐无法通读,碑主名讳以及立碑年代等均失记不存,以归属地命名倒无可厚非,关键是该摩崖刻石虽然文字脱落大半,但建造年代,碑主身份、名讳以及刻碑主题都很明确,且碑文中并没有与“河峪”相关的任何文字内容。故笔者认为,依据碑文的内容,该摩崖刻石当定名作《故汉阳太守刘福功德颂》,简称《刘福功德颂》。
笔者于2014年10月,对《刘福功德颂》进行了实地寻访调查。该摩崖刻石虽然早在1987年就被列为县级文物保护单位,又于2016年6月升级为甘肃省第八批省级文物保护单位,但由于地处偏远,保护工作力有不逮。除了刻石表面因山体渗水出现起皮膨胀现象之外,在利益驱使下,也有不法碑贾帖贩野蛮捶拓,甚至用硅胶翻模,导致崖面污损破坏严重。据笔者掌握的情况,目前市面上所见《刘福功德颂》拓本,几乎全部为硅胶翻模本。与原碑拓本相比,硅胶翻模本的线条变形严重,或粗壮夸张、僵硬呆板,或纤细绵软、毫无张力,整体神采全无。由于刻石崖面石质粗糙,且不平整,原碑搨本很难做出乌黑的效果,而硅胶翻模本则几乎全部呈现出墨色匀称,黑白分明的效果。希望通过本文,能引起金石界、书法界的重视,以正本清源。
附言:原文以《新见东汉摩崖刻石文字两种》、《跋新见东汉摩崖刻石之<故汉阳太守刘福功德颂>》为题,分别发表于《书法丛刊》2016年第2期和《中国书法报》2017年第12期。河南美术出版社《原石拓本比对——东汉刘福功德颂》一书中亦有收录。本文对原文部分章节内容做了调整和增订,对于存在讹误和阙遗的铭文,亦做了更正和补充。在访碑、搨碑的过程中,得到了张家川回乡风情园展览馆办公室汪晓东先生、恭门镇文化站站长王成科先生以及甘谷石海先生的热情帮助,封泥资料由张家川电视台李玉明先生提供,在此向他们一并表示感谢!
参考文献:
[1]班固:《汉书》卷五《景帝纪第五》,中华书局2013年版,第148页。
[2]班固:《汉书》卷二十八下《地理志第八下》,中华书局2013年版,第1655页。
[3]范晔:《后汉书》卷六《孝顺孝冲孝质帝纪第六》,中华书局2012年版,第273页。
[4]范晔:《后汉书》卷八十七《西羌传第七十七》,中华书局2012年版,第2897页。
[5]范晔:《后汉书》卷八十七《西羌传第七十七》,中华书局2012年版,第2895-2896页。
[6]范晔:《后汉书》卷八十七《西羌传第七十七》,中华书局2012年版,第2895页。
[7]范晔:《后汉书》卷八十七《西羌传第七十七》,中华书局2012年版,第2895页。
[8]张学正:《甘谷汉简考释》,《汉简研究文集》,甘肃人民出版社,1984年,第85-141页。
[9]范晔:《后汉书》卷七十九上《儒林列传第六十九上》,中华书局2012年版,第2564页。
[10]蔡副全:《西狭<汉将题刻>摩崖略考》,《天水师范学院学报》,2012年,第23-25页。
说明:
此文章转自网络,其内容未经核实,
如有侵权,敬请来电告知,我们将及时删除。
联系电话:189 3925 8986
